1/8

2/8

3/8

4/8

5/8

6/8

7/8

8/8

病例
2016/02/27 14:03:53医影人

1/8

2/8

3/8

4/8

5/8

6/8

7/8

8/8

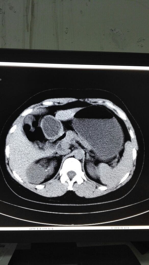
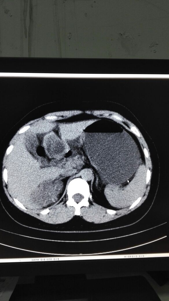
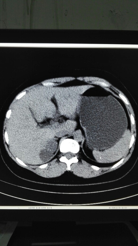
患者女,40岁,医院职工家属。B超体检时发现肝肾间多发囊性占位性病变。行腹部平扫示:右肾上腺区囊性占位,有分割和钙化点,右肾受压下移。诊断意见:右肾上腺囊腺瘤可能性大,建议进一步检查明确。后到市级医院检查并切除手术,病理切片考虑肾上腺囊肿。今腰部不适复查CT片。

医学影像科
热门评论
水晶之恋
0
学习并分享
2016/02/27 15:25:05
心的驿站
0
很好的病例
2016/02/28 09:52:08
打开掌上医讯,查看完整评论(5)条
精彩推荐
下载医讯阅读
掌上医讯APP
医生的头条