1/6
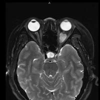
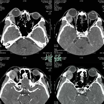
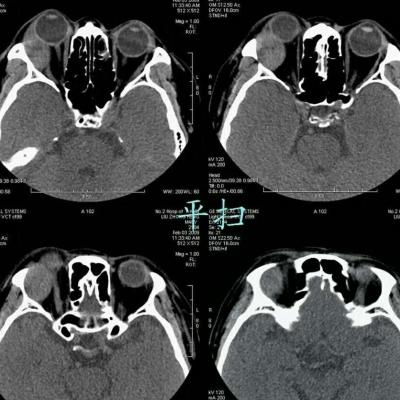
女,54岁,头痛头晕月余,无眼部症状及视力异常。 影像表现:右侧眼球后方占位病变,考虑海绵状血管瘤可能性大,鉴别:视神经鞘瘤、脑膜瘤及炎性假瘤。 病例点评:眼眶内血管瘤是较常见的良性肿瘤,其中以海绵状血管瘤最常见。可发生于任何年龄,主要表现为眼球突出及偏位,在低头或哭泣时可有突眼加重。可经眶缘触及具有压缩性的肿块。视力损害多较缓慢。肿块大多位于肌锥内,其次为肌锥外,平扫呈边界清楚的圆形、卵圆形或分叶状肿块,增强扫描呈缓慢进行性显著强化为其特征性表现。
女,54岁,头痛头晕月余,无眼部症状及视力异常。 影像表现:右侧眼球后方占位病变,考虑海绵状血管瘤可能性大,鉴别:视神经鞘瘤、脑膜瘤及炎性假瘤。 病例点评:眼眶内血管瘤是较常见的良性肿瘤,其中以海绵状血管瘤最常见。可发生于任何年龄,主要表现为眼球突出及偏位,在低头或哭泣时可有突眼加重。可经眶缘触及具有压缩性的肿块。视力损害多较缓慢。肿块大多位于肌锥内,其次为肌锥外,平扫呈边界清楚的圆形、卵圆形或分叶状肿块,增强扫描呈缓慢进行性显著强化为其特征性表现。
复复一月,用盐酸氟轻松膏后缓解,不用则又复,请各位老师指教!
下载医讯阅读
西 3037天前转移征象。 【体检辅查】 见上 【诊断】 泪腺癌
下载医讯阅读
zxj320 3530天前或圆形肿块;同时累及眶内段、管内段及颅内段可表现为“哑铃形。
下载医讯阅读
zxj320 3565天前及视交叉后,右眼出现典型的颞侧偏盲,从而促使患者前来就诊。
下载医讯阅读
zxj320 3577天前显示病变区呈半圆形或扁平形。常合并邻近眼外肌增厚或眼环增厚。
下载医讯阅读
zxj320 3606天前