1/6

2/6

3/6

4/6

5/6

6/6

食管裂孔疝病人的手术治疗
2016/12/30 08:58:17会说话的鹰

1/6

2/6

3/6

4/6

5/6

6/6

【主诉病史】
主诉:反酸、烧心5年,加重1年。 病史:患者5年前饮酒出现反酸烧心,并嗳气症状,剑突下烧灼感,饮酒及平卧后加重,无恶心呕吐,无腹痛腹泻,无吞咽困难,服用“达喜”后症状可缓解,易反复发作。3天前我科门诊示:胃镜反流性食管炎(LA-B),现为进一步诊治入院。

【体检辅查】
体温:36.5℃ 脉搏:70次/分 呼吸16次/分 血压136/72mmHg。双肺呼吸音清,无干湿啰音,胸腹无压痛、反跳痛,肌紧张、Murphy征阴性。

【诊断】
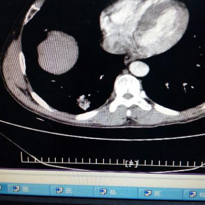
1.胃食管反流病 1.1反流性食管炎LA-B 2.食管裂孔疝 处理:患者诊断明确,行腹腔镜下食管裂孔疝修补术+胃底折叠术。

【病例分析】
患者术后一周出院,反酸、烧心、嗳气症状明显缓解,无吞咽不畅等症状。 讨论:对于诊断有食管裂孔疝病人的胃食管反流病,且用药有一定疗效,建议行手术治疗,行腹腔镜下食管裂孔疝修补术,修补了膈裂孔,同时行胃底折叠术,加紧了贲门括约肌压力,共同形成抗“反流瓣”。

心胸外
热门评论
帝虓
1
在有反流症状病人中,少数发生器质性狭窄,以致出现吞咽困难,吞咽疼痛,食后呕吐等症状。
2016/12/30 12:33:28
用户1536655
0
不是,这个不是。
2016/12/30 17:24:19
打开掌上医讯,查看完整评论(44)条
精彩推荐
下载医讯阅读
掌上医讯APP
医生的头条