1/16
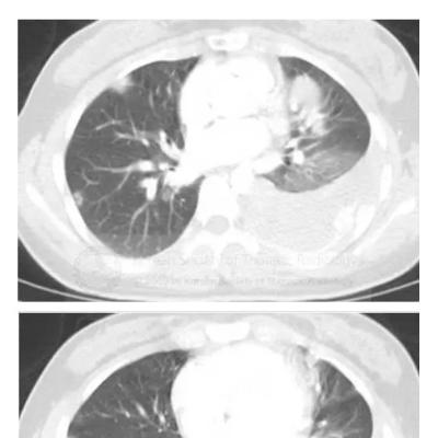
男,45岁,咳嗽,咳痰1个月,发热,盗汗,体重下降5公斤,肺结核病史30年.右肺下叶病变性质待查?
男,45岁,咳嗽,咳痰1个月,发热,盗汗,体重下降5公斤,肺结核病史30年.右肺下叶病变性质待查?
 
				       
				      科医生治疗类似患者提供了一个不错的选择,应被大家所重视。
下载医讯阅读
用户1563558 2776天前特征高度类似,与其他部位的原发MGT病理形态特征亦类似。
下载医讯阅读
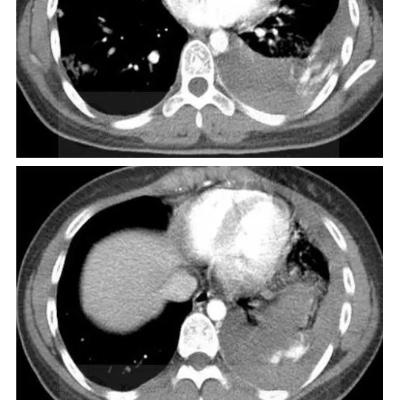
用户1563558 2789天前状如上。辅助检查暂无。请各位老师指教,谢谢。切盼回复,谢谢。
下载医讯阅读
西街卫生室 2843天前下肢无水肿。 目前患诊断考虑?进一步诊断治疗方案?
下载医讯阅读
用户1625019 2879天前在葡萄胎妊娠前,但一些患者可能无任何妇科症状而出现转移症状。
下载医讯阅读
取次杏林懒回顾 2879天前