1/16

2/16

3/16

4/16

5/16

6/16

7/16

8/16

9/16

10/16

11/16

12/16

13/16

14/16

15/16

16/16

慢性肺源性心脏病
2017/04/13 18:09:15一鸣惊人

1/16

2/16

3/16

4/16

5/16

6/16

7/16

8/16

9/16

10/16

11/16

12/16

13/16

14/16

15/16

16/16

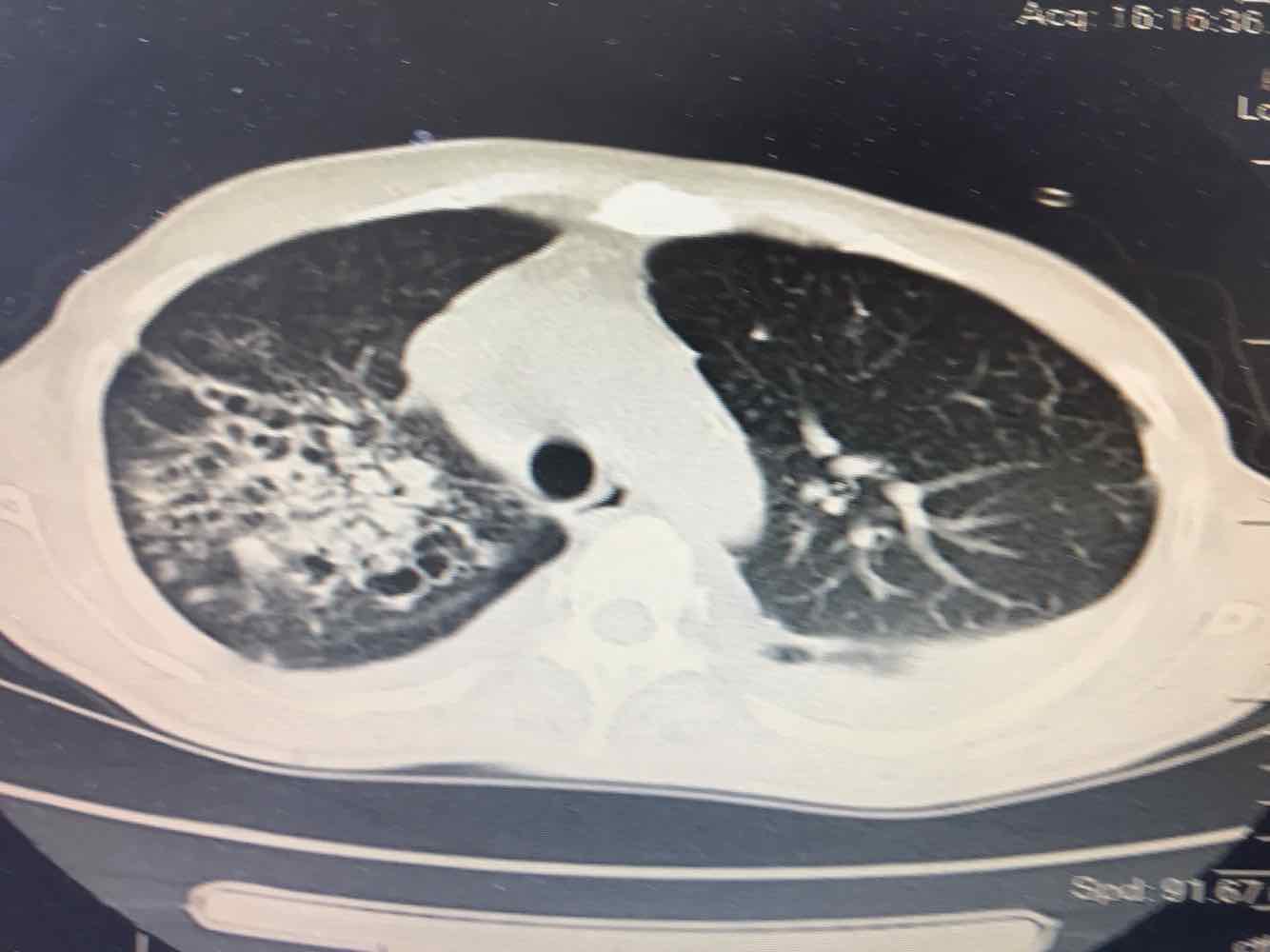
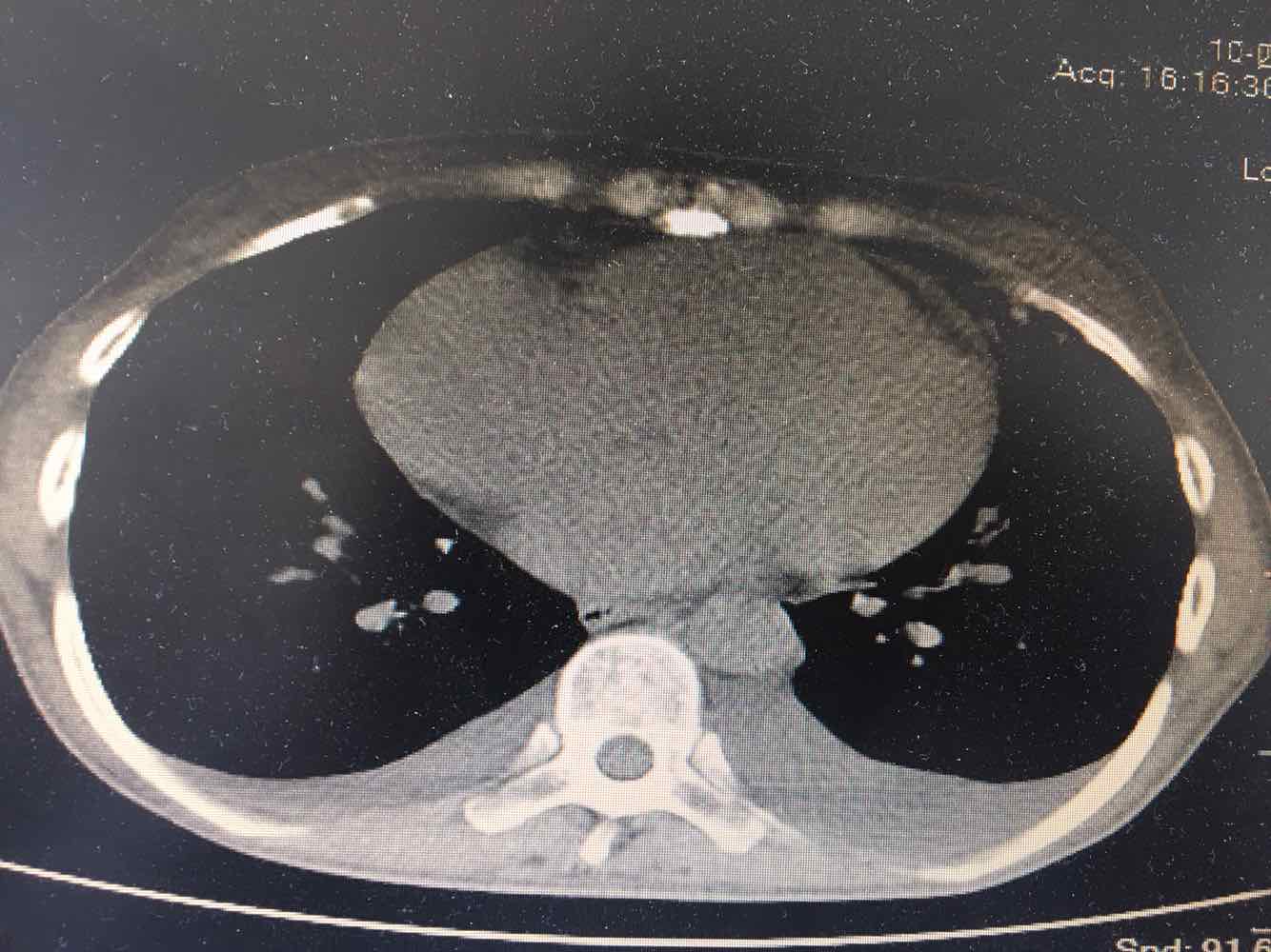
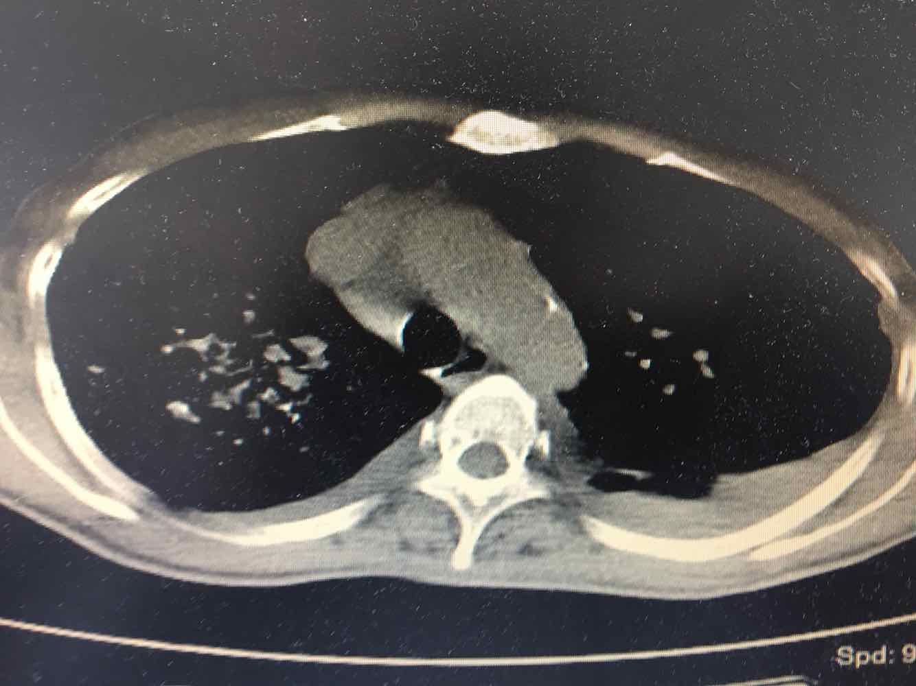
女,51岁,支气管扩张病史多年。慢性咳嗽咳痰喘息30年,加重1个月,无发热,气短为主,痰液不多,上腹不适,少尿。双肺干湿罗音。

追加病例 :2017-04-13 18:09:56

图片

1/7

2/7

3/7

4/7

5/7

6/7

7/7

呼吸内科
热门评论
四空
0
是的,平时要注意锻炼身体,提高免疫力,减少复发,延缓病情进展。
2017/04/14 07:17:45
四空
0
支气管扩张症多年,两肺干湿罗音,但痰不多,是否注意气道通畅情况。
2017/04/15 10:23:39
打开掌上医讯,查看完整评论(103)条
精彩推荐
下载医讯阅读
掌上医讯APP
医生的头条