1/2
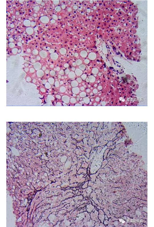
男性,40岁,70 Kg,175 cm, 风华正茂,事业正当时,并不嗜酒,却每日应酬不断,新近查肝功能异常,如下图1: 常规排除各种病毒性肝炎,自身免疫性肝炎,药物性肝病等可能,B超提示有脂肪肝,为进一步确定肝损伤程度,肝穿刺病理所见,肝小叶广泛肝细胞脂肪样变,大于50%,气球样变性,中性粒细胞浸润,窦周纤维化。为典型酒精性肝病。中度肝纤维化(S2)。 全球酒精性肝病患病率呈现持续增长趋势。我国尚缺乏酒精性肝病的全国性大规模流行病学调查资料,但地区性流行病学调查显示,我国饮酒人群数量和酒精性肝病的患病率有迅速上升趋势。华北地区流行病学调查显示,从上世纪80年代初到90年代初,嗜酒者在一般人群中的比例从0.21%升至14.3%;本世纪初,南方及中西部省份流行病学调查显示,饮酒人群增至30.9%~43.4%。 酒精性肝病占同期肝病住院患者的比例也在不断上升,从1991年的4.2%增至1996年的21.3%;来自解放军第三0二医院的研究报道,2002年至2013年十余年间,因酒精性肝病住院的患者比例上升了170%。由此可见,在我国,酒精所致的肝脏损害已经成为一个不可忽视的问题。 酒精滥用和依赖显著增加了酒精性肝硬化的发生风险,其中在40~59岁人群最为显著。此前曾有报道,长期的每天饮酒,尤其是饮白酒或啤酒,更易引起酒精性肝硬化。 一份回顾性研究结果显示,早期/代偿期酒精性肝病患者的5年肝病相关死亡率为13%,而失代偿期患者则高达43%;早期/代偿期酒精性肝病患者的长期预后受到肝纤维化分期的影响,其中严重纤维化(F3/4)对10年死亡率有重大影响;对于失代偿期酒精性肝病患者,临床特征(性别:女性)、肝衰竭的生物化学指标(胆红素、国际标准化比值)、组织学特征可以预测患者的长期生存率;随访期间,无论代偿期还是失代偿期酒精性肝病患者,戒酒都是生存率的重要预测指标。 也有研究报道,胆红素淤积的出现及其程度、巨型线粒体缺失、多形核白细胞浸润程度与酒精性肝炎患者的死亡率显著相关;酒精性肝炎组织学评分对于预测糖皮质激素的疗效和死亡率具有很高的准确性。 酒精性肝病相关恶性肿瘤不容忽视。来自日本的一项多中心研究结果显示,和非酒精性脂肪肝相比,酒精性肝病导致的肝癌的患者更年轻,肝纤维化水平更高,芬兰的一项包括1873例酒精性肝病患者的调查结果显示,酒精性肝病患者的恶性肿瘤发生率显著高于对照人群;其中重症酒精性肝病患者的肝细胞肝癌、上消化道癌症、胰腺癌等恶性肿瘤发病风险显著升高;该研究还指出,所调查的酒精性肝病患者当中,未发现任何一种恶性肿瘤的发病风险是降低的。

