1/2
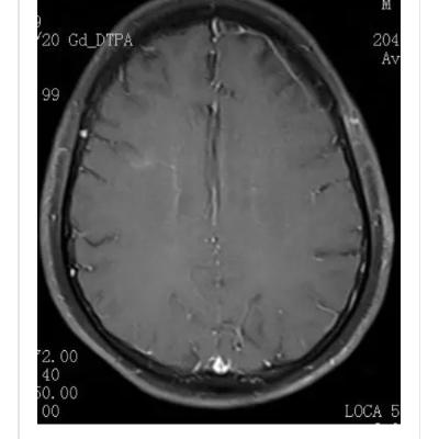
10月大婴儿,因癫痫持续状态就诊,2天前有发热和稀便。头颅MRI提示脑组织肿胀和累及丘脑,白质和背侧脑干的T2高信号病灶(图1)。丘脑病变在DWI和ADC上可见三层外观,伴有SWI上可见的局灶出血(图1-2)。 最终诊断:急性坏死性脑病 讨论 儿童急性坏死性脑病是一种爆发性脑病,主要累及婴幼儿。诱发因素包括病毒感染(流感病毒,轮状病毒,人类疱疹病毒6),免疫介导和遗传(RANBP2突变)。DWI和ADC上的三层表现和对称性丘脑受累具有特征性。
10月大婴儿,因癫痫持续状态就诊,2天前有发热和稀便。头颅MRI提示脑组织肿胀和累及丘脑,白质和背侧脑干的T2高信号病灶(图1)。丘脑病变在DWI和ADC上可见三层外观,伴有SWI上可见的局灶出血(图1-2)。 最终诊断:急性坏死性脑病 讨论 儿童急性坏死性脑病是一种爆发性脑病,主要累及婴幼儿。诱发因素包括病毒感染(流感病毒,轮状病毒,人类疱疹病毒6),免疫介导和遗传(RANBP2突变)。DWI和ADC上的三层表现和对称性丘脑受累具有特征性。
选自神经损伤与功能重建 2017年11月第12卷第6期
下载医讯阅读
取次杏林懒回顾 2930天前、足疗程抗病毒药物治疗以控制病情进展,以免导致严重后果。
下载医讯阅读
取次杏林懒回顾 2930天前选自中国现代神经疾病杂志 2017年6月第17卷第6期
下载医讯阅读
取次杏林懒回顾 2942天前化学染色很难发现单个螺旋体,但在侵袭性病例中可见大量螺旋体。
下载医讯阅读
取次杏林懒回顾 2948天前图2),最可能与短暂性血栓栓塞有关,为取栓操作的罕见并发症。
下载医讯阅读
取次杏林懒回顾 2955天前