心脏CT解剖中英文对照标注(二)(图文) Cardiac Anatomy
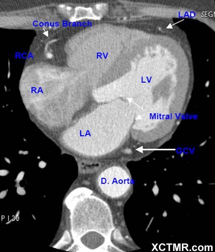
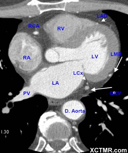
LA - Left Atrium 左心房
RA - Right Atrium 右心房
LV - Left Ventricle 左心室
RV - Right Ventricle 右心室
Mitral Valve 二尖瓣
A. Aorta-Ascending Aorta 升主动脉
D. Aorta-Descending Aorta 降主动脉
SVC – Superior Vena Cava 上腔静脉
IVC – Inferior Vena Cava 下腔静脉
PA - Pulmonary Artery 肺动脉
PV - Pulmonary Vein 肺静脉
LMA - Left Main Artery 冠状动脉左主干
LAD - Left Anterior Descending Artery 左前降支
LCX - Left Circumflex Artery 左回旋支
LMB - Left Obtuse Marginal Branch 左边缘支(钝缘支)
RCA - Right Coronary Artery 右冠状动脉
PDA - Posterior Descending Artery 后降支
Conus Branch 右动脉圆锥支
LAA – Left Atrial Appendage 左心耳
RAA – Right Atrial Appendage 右心耳
CS - Coronary Sinus 冠状窦
MCV – Middle Cardiac Vein 心中静脉
GCV –Great Cardiac Vein 心大静脉
PIVV – Posterior Intraventricular Vein 后室间静脉(心中静脉)
PLVV – Posterior Left Ventricular Vein 左室后静脉
PLV – Posterior Lateral Vein 左室后侧静脉(边缘静脉)

