心脏CT解剖中英文对照标注(一)(图文)
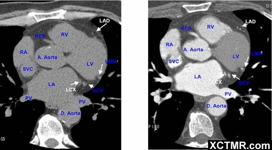
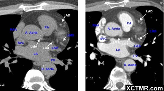
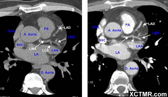
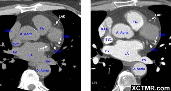
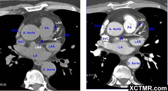
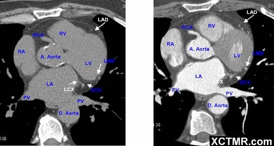
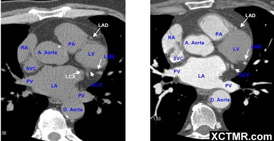
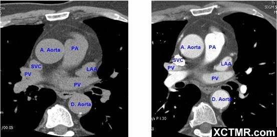
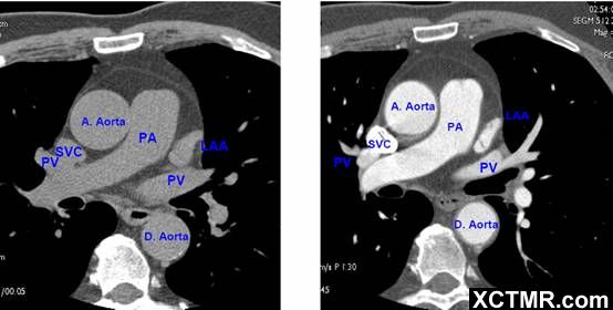
常用英文名称及缩写 LA - Left Atrium 左心房 RA - Right Atrium 右心房 LV - Left Ventricle 左心室 RV - Right Ventricle 右心室 Mitral Valve 二尖瓣 A. Aorta-Ascending Aorta 升主动脉 D. Aorta-Descending Aorta 降主动脉 SVC – Superior Vena Cava 上腔静脉 IVC – Inferior Vena Cava 下腔静脉 PA - Pulmonary Artery 肺动脉 PV - Pulmonary Vein 肺静脉 LMA - Left Main Artery 冠状动脉左主干 LAD - Left Anterior Descending Artery 左前降支 LCX - Left Circumflex Artery 左回旋支 LMB - Left Obtuse Marginal Branch 左边缘支(钝缘支) RCA - Right Coronary Artery 右冠状动脉 PDA - Posterior Descending Artery 后降支 Conus Branch 右动脉圆锥支 LAA – Left Atrial Appendage 左心耳 RAA – Right Atrial Appendage 右心耳 CS - Coronary Sinus 冠状窦 MCV – Middle Cardiac Vein 心中静脉 GCV –Great Cardiac Vein 心大静脉 PIVV – Posterior Intraventricular Vein 后室间静脉(心中静脉) PLVV – Posterior Left Ventricular Vein 左室后静脉 PLV – Posterior Lateral Vein 左室后侧静脉(边缘静脉) | |
| |
|
|



