全面认识心碎综合征/Takotsubo心肌病(图文)
医脉通编译,转载请务必注明出处。
Sato等在1990年首次对Takotsubo心肌病(TCM)进行了描述:是一种短暂的心脏综合征,包括左心室(LV)尖部运动缺失和类似急性冠脉综合征(ACS)的基底部收缩增强。2/3的TCM患者在经历重要情绪事件(如,所爱的人意外死亡、离婚、不利的财经新闻)或机体应激(如,车祸、重大手术、入住重症监护病房[ICU])后进展为TCM;因此,该病也被称为“心碎综合征”。
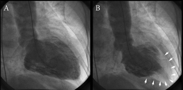
左心室造影显示出舒张期(A)及收缩期末(B)LV中部和心尖部的典型形态。在收缩期末,心尖部和LV下段(箭头所示)可明显看到动脉瘤样扩张(气球样);因此,TCM也被称为“心尖球形综合征”。
[病因病理生理学]
TCM因发作时LV心尖呈气球样(左)与传统日本章鱼鱼篓的圆形底部和窄口相似而命名(称为“Takotsubo”[章鱼壶])(右)。该病多见于女性,部分原因是由于压力引起的儿茶酚胺释放对心肌产生影响(心肌顿抑和微梗死)。其它机制包括多支心外膜冠状动脉痉挛,冠状动脉微血管功能障碍和受损心肌脂肪酸代谢异常。心肌不同阶段对高水平儿茶酚胺的反应性存在差异(例如,心尖部对负性肌力的肾上腺素更敏感)似乎支持儿茶酚胺的作用。
心内膜活检显示单核淋巴细胞、白细胞、巨噬细胞和间质浸润,以及心肌纤维化和收缩带坏死。这些结果与冠状动脉闭塞后心肌梗死(MI)形成的凝固性坏死不同。儿茶酚胺毒性的动物模型也显示出类似病理学改变。
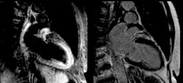
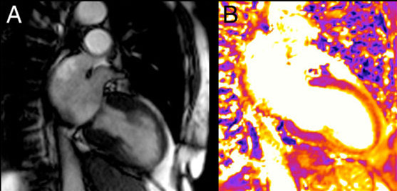
心脏收缩动态磁共振成像(MRI)显示了一名81岁TCM患者典型的心尖气球样扩张(A)。同一患者的心血管MRI(CMRI)T 2(横向弛豫时间)像显示心尖心肌T2信号强度升高[橙色](B)。这两个两腔位图像是在最初诊断TCM后3天获取的,患者在全身发作后出现短暂的心电图(ECG)改变和肌钙蛋白水平升高。
[临床特点]
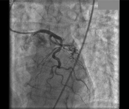
TCM的实际发生率尚不清楚,但该病可能占所有疑似急性心肌梗死病例的1%~2%。TCM患者一般表现为胸痛、心电图ST段抬高和心肌酶水平升高,与急性MI的表现是一致的。但当患者行冠状动脉血管造影术时,可发现无显著冠状动脉狭窄(如图所示),而左心室造影显示左心室心尖部存在球样扩张。
如前所述,最终诊断为TCM患者的临床表现(即,胸痛和呼吸困难、心悸、恶心)通常与ACS患者类似。然而,与ACS发病高峰为清晨不同,TCM最常发生于下午,因为这个时间出现压力刺激的可能性更大。此外,TCM患者往往传统的心脏危险因素发病率较低(如高血压、高脂血症、糖尿病、吸烟、心血管疾病阳性家族史)。急性LV收缩功能障碍或流出道梗阻时,心搏出量降低可导致低血压。
收缩期左心室造影显示特性心尖部球样扩张伴心尖室壁运动缺失(箭头)。
[诊断标准]
梅奥诊所的改良标准指出,TCM的诊断必须包含所有下列四项标准:
•LV中段伴或不伴心尖部的短暂运动功能减退、运动障碍、运动缺失;节段性室壁运动异常(RWMA)超出单一心外膜血管分布;可以存在或不存在压力刺激
•无阻塞性冠状动脉疾病(CAD)或急性斑块破裂的血管造影证据
•新发心电图异常(ST段抬高和/或T波倒置)或肌钙蛋白水平轻度升高
•排除嗜铬细胞瘤和心肌炎
心室造影显示心室中部运动功能减退(白色箭头),包括舒张期(左)和收缩期(右)。
[心电图]
急性TCM最常见的ECG表现为胸导ST段抬高(通常为V2-V3),虽然20%-30%患者最初的心电图表现正常或非特异性。ST段抬高,随后是弥漫性T波倒置(同时ST段正常),并伴有QT间期延长。因此,仅依靠心电图结果不能可靠地鉴别TCM和急性ST段抬高型心肌梗死(STEMI)。
此外,TCM患者的心脏生物标记物水平通常升高,但升高幅度一般低于ACS(包括STEMI)。因此,诊断通常需要依赖冠状血管造影术。
TCM患者的心电图显示前壁/前侧壁及下壁导联ST段抬高。
这是一名68岁TCM患者的入院ECG。V2-V3导联可见ST段明显抬高2〜3mm,伴有窦性心动过速。V5-V6导联ST段压低1mm。
这是与前一张图片同一患者入院后第1天的ECG。V2-V3导联演变为T波倒置。需要注意的是,入院时心电图V5-V6导联的ST段压低已经恢复正常。
[超声心动图]
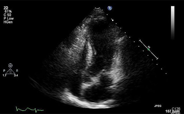
经胸超声心动图是诊断TCM室壁运动异常的快速方式,特别是诊断LV运动减低或心室中部和心尖部的运动缺失。这些室壁运动异常超出了任何单一冠状动脉的分布区域。左室射血分数(LVEF)可以通过超声心动图、CMRI或左心室造影来估算。
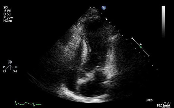
超声心动图显示,TCM患者心尖部在收缩期无运动,射血分数为40%。
[心血管磁共振成像]
CMRI为TCM病理生理机制的探索提供了新的可能,可能具有判断患者急性表现的潜力,全面识别病情并提高临床疗效。TCM患者,延迟增强四腔CMRI显示LV无异常增强。然而,由于冠状动脉闭塞或急性心肌炎导致的急性心肌梗死患者会出现对比增强,这可能有助于鉴别TCM和急性MI。
上排:CMRIs影像A-C图显示出TCM患者在应激诱导下出现典型的心尖收缩功能障碍(C图为无钆剂延迟增强)。
下排(T2像):D图显示心肌基底部T2信号成像正常,而E和F图显示心尖部和心室中部存在心肌水肿,对应LV室壁运动异常。
比较三名受试者在五种成像模式下的代表性短轴CMRI结果。
上排:正常普通志愿者。中间一排:TCM患者。
下排:患者心脏前壁局部水肿;前侧壁和前间隔显示高强度T2信号和T1(纵向弛豫时间)值较高。
A栏:T2 加权Dark-blood图像。B栏:T2 加权Bright -blood图像。C栏(绿色=正常心肌;红色=T1增加值):彩色ShMOLLI T1加权图像。D栏:ShMOLLI反转恢复序列的R2(弛豫速率)影像。E栏:钆剂延迟增强影像(LGE)。
图像显示了81岁TCM患者发病3天后的两腔CMRI影像(幻灯片3是同一患者)。
左图:传统T2加权短时间反转恢复序列(STIR)快速自旋回波图像,可见心肌心尖信号强度增加,难以与缓流时管腔内血流信号进行区分。
右图:LGE 图像排除心肌瘢痕。
[TCM变异型]
典型TCM的变异型已被识别,但其发生率一般较典型TCM低。反向TCM患者的左心室造影显示存在心尖运动增强和基底部运动缺失,而不是典型的TCM心尖扩张(球样)运动缺失和基底部运动增强。A图为舒张期影像,B图为收缩期影像。箭头所示为心尖部正常的心室运动。
[管理]
TCM目前尚无标准治疗指南,所有疑似TCM患者均按ACS治疗,除非有证据表明患者并非TCM。TCM治疗主要为经验治疗和支持疗法。在血流动力学状态允许的情况下,β受体阻滞剂治疗可能会有所帮助。5%-8%伴有LV血栓的TCM患者需要进行抗凝治疗。通过动态超声心动图检查确保心肌病得到缓解,建议由心脏病专家在诊断后密切随访数周。此后应每年监测,因为TCM的长期影响和自然史尚不清楚。然而,TCM患者通常预后良好(住院生存率95%-98%),通常在4-8周后完全恢复。但是,患者的复发率高达10%。
左图:服用多种药物自杀因药物毒性引发TCM的患者,冠脉血管造影正常。
右图:该患者的舒张期(上图)和收缩期(下图)左室血管造影显示心尖部运动减少。
医脉通编译自:Keys to Diagnosing Broken Heart Syndrome (Takotsubo Cardiomyopathy). medscape. February 19, 2015.

