外阴癌的诊断和治疗(综述)
成年女性常出现外阴瘙痒症状,很多人羞于启口,去医院进行妇科检查的就更少了,许多人往往是自行购买洗剂,以为洗洗就健康了。殊不知,这样可能会贻误病情,最糟糕的情况就是慢慢发展为外阴癌。最近发布在 Int J Womens Health. 的一项文章对外阴癌的流行病学、临床表现以及疾病管理进行了综述,本文对其内容进行了整理,以下为精简版。
概述
外阴癌是第四大常见的妇科肿瘤,排在子宫癌、卵巢癌和子宫颈癌之后,占所有妇科肿瘤的 5%。最近的研究指出,大约 15% 的外阴癌发生在 40 岁以下女性中。根据诱发因素可分为两大类:一类是人乳头状瘤病毒 (HPV) 感染引起,常见于年轻患者;另一类非 HPV 感染引起,常见于无皮肤黏膜上皮内瘤样病变的中老年患者。
外阴癌最常见的临床症状是长时间的外阴瘙痒,其他临床症状有外阴出血、分泌物过多、排尿困难、外阴疼痛。外阴癌最明显的症状是外阴有肿块或瘤块,可呈溃疡状、白斑、多肉或疣状。
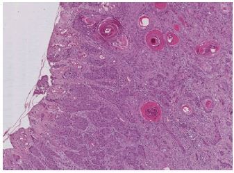
鳞状细胞癌(SCC)是外阴部最常见的恶性肿瘤(95%)。SCC 可被分为三种主要组织学亚型:疣状,基底细胞样,和角化。其中,角化型为主要, 65%~80% 的 SCC 为该类型,常发生在绝经后;其他的 SCC 组织学为基底细胞样和疣状,常发生在绝经前或绝经期。
图 1. 角化型外阴鳞状细胞癌
分期
外阴癌的分期采用常用的 TNM 分期,基于肿瘤大小(T)、是否转移到淋巴结(N)、是否发生远端转移(M)进行分期。最终的诊断取决于手术标本(外阴和淋巴结)的全面组织学评估。分期反映了外阴癌的进展,一般来说,外阴癌会首先扩展到邻近器官,如阴道、尿道和肛门,随后从淋巴结转移到相近的其他淋巴结,如从腹股沟到股骨、盆腔淋巴结,最后扩散到远端器官,如肝脏、肺等。
图 2. 外阴淋巴引流
治疗
1. 手术治疗
由于外阴癌的生长特点为局部浸润较广泛而且可多点发生,所以外阴癌的首选治疗方法是根治式外阴及双侧腹股沟淋巴结切除术,即使是对于很小的外阴浸润肿瘤同样适用。这种手术常伴伤口感染和术后并发症,发生率大约为 50%。手术还会直接影响到外阴外观,影响患者性生活、性功能,甚至是自信心。目前,已采用更个性化,更人性化的手术来治疗外阴癌。此外,广泛局部切除局部病灶(T1)和前哨淋巴结(SLN)活检可减少伤口并发症和淋巴水肿。
手术治疗建议:对于早期外阴癌(I 期或 II 期),应进行手术切除,包括一些辅助治疗。对于晚期外阴癌(III 期或 IVA 期),手术治疗是首先,未进行手术治疗的患者应进行基础放化疗。
放化疗
根据外阴癌各项检测结果决定患者是否适合接受化疗。对于已经发生近端转移的外阴癌,如转移到肛门直肠、尿道以及膀胱等近端部位,推荐进行放化疗。推荐使用顺铂、5-FU、丝裂霉素 C 与放疗联用。
化疗和新型生物制剂
除新辅助化疗,化疗通常效果甚微,治标不治本。常用的化疗方案是铂类(顺铂),单独使用或与其他药物合用,比如 5-FU、紫杉醇、长春瑞滨或丝裂霉素 C。由于需要化疗的比例较小,目前仍无标准治疗方案,化疗的实际响应率较低。
新型生物制剂,如吉非替尼和埃罗替尼,是效果较好的可逆酪氨酸激酶抑制剂。这些生物制剂通过抑制酪氨酸激酶,阻断人表皮生长因子受体(EGFR)刺激那些对肿瘤生长有益的细胞增殖。已有研究证明,吉非替尼联合曲妥珠单抗能够提高外阴肿瘤细胞株(A431)的放疗敏感性。
新辅助放疗和辅助放疗
此外,还有辅助放疗,新辅助放疗。有时,也会在化疗,放疗之后,进行手术治疗。对外阴癌来说,仅仅进行化疗是不够的,常常需要新辅助化疗。
辐射总剂量在 60 Gy~70 Gy 之间,如果腹股沟淋巴结阳性,应行盆腔及腹股沟的照射。外阴癌放疗也用于晚期患者术前达到缩小手术范围,减少癌细胞扩散的患者,可用于术前、术中及术后治疗。
预后
对患者来说,一旦确诊外阴癌,就应该及时进行相应治疗,这样会有较好的预后效果。
腹股沟和/或股淋巴结是外阴癌患者生存的最显著的预后因素。阴性淋巴结外阴癌患者的 5 年生存率较高,为 70%~93%;阳性淋巴结外阴癌患者的 5 年生存率较低,为 25%~41%。复发病灶为淋巴结,以及远端转移的外阴癌,不适合进行手术或放疗,这种外阴癌往往难以治疗,5 年生存率一般小于 5%。其他预后因素有分期,毛细淋巴管侵袭空间,年龄等。


