【临床实例】牙周正畸联合治疗广泛型侵袭性牙周炎一例
【病史采集】
该患者为一名27岁的女性,主诉为刷牙出血伴牙龈反复肿痛2年余,近1年来还出现了牙齿松动、不敢咬硬物以及前牙移位的现象。
患者在半年前已于外院进行过牙周洁治和刮治,之后每月洗牙1次,出血稍有好转,但仍然反复出现牙龈肿痛。
该患者不吸烟,工作较为忙碌,每天刷牙2次,全身健康,未发现其父母年轻时有牙齿松动或失牙的情况。
【牙周检查】
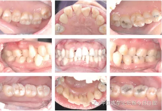
图1为患者初诊的口内相,图2为我们为患者进行检查的牙周记录表,图3为患者的全口根尖X线片,从中我们可以发现几个关键问题:
患者的口腔卫生较好,无明显龈上牙石,菌斑软垢也较少;
患者有广泛的深牙周袋和牙槽骨角形吸收,同时伴松动和溢脓情况;
患者全口牙列不齐,前牙深覆牙合,21唇侧移位,11与12间、21与22间有2mm间隙,14、13与44对刃。
▲图1 患者初诊口内相,黑圈处为牙龈明显水肿或溢脓部位,蓝圈处为14、13与44对刃咬合部位
▲图2 患者初诊的牙周检查记录表
▲图3 患者初诊的全口根尖片
通过上述检查,我们可以得出初步的诊断,这是一个广泛型侵袭性牙周炎病例。
【风险评估】
根据以上的病史采集和牙周检查,我们可以发现患者存在的一些危险因素:
在较年轻的年龄条件下就存在有广泛的附着丧失,说明病情进展比较迅速;
患者的工作比较紧张,精神压力偏大;
存在广泛的探诊出血,并伴有部分位点溢脓,提示这些位点病变处于活动性进展中;
存在局部的咬合问题,包括前牙的移位、深覆牙合以及右侧前磨牙存在对刃咬合。
另一方面,患者也有一些对治疗有利的因素存在,包括:患者比较年轻,愈合能力强,口腔卫生良好,无不良嗜好,全身健康,无明显的遗传背景,依从性好,且未发现牙齿解剖形态上的异常。综合评估这些风险,能让我们对治疗有更好的预见性。
【预后判断】
虽然该患者有着广泛的深牙周袋和牙槽骨吸收,但其每颗牙齿的破坏程度并不一致,其中状况最差的是14和31,两者均有Ⅲ度松动,14存在对刃咬合情况,根周牙槽骨已经完全吸收,31根周膜非常宽,牙槽骨已吸收至根尖,因此归为无治疗希望(hopeless)的牙齿;44松动Ⅲ度,但尚余留1/3的牙槽骨,所以归为预后可疑(questionable)的牙齿;16、12、11、42、41、32、46牙槽骨均吸收达根长2/3,松动Ⅰ~Ⅱ度,故归为预后稍差(poor)的牙齿;其余的牙齿则可归类为预后良好或一般(good/fair)。
【治疗计划】
仔细完成了前面两个步骤,再依据牙周治疗的4个基本程序(基础治疗/手术治疗/修复正畸治疗/维护治疗),我们会比较容易地制定出治疗计划:
14和31无治疗希望,建议拔除,44预后可疑,仅试保留;
进行完善、彻底的牙周刮治;
16和46有较严重的牙槽骨角形吸收,拟行牙周引导组织再生手术;
炎症控制良好后开展正畸治疗,改善咬合关系;
牙周维护治疗。
与患者行进一步沟通后,患者并不愿意马上拔牙,出于对患者意见的尊重,我们同意暂时试保留14和31。
【临床治疗流程】
【治疗过程】
▲图4 刮治完成后3个月的口内相(牙龈水肿溢脓已完全消退)
▲图5 刮治完成后3个月牙周检查记录表(牙周袋探诊深度显著改善)
▲图6 16引导组织再生手术。近中深骨下袋(箭头处),深7 mm,宽7 mm,上2/3仅余近中壁,为一壁骨袋,下1/3 为三壁骨袋,清除肉芽组织,植Bio-oss 骨粉,置Bio-gide膜,严密缝合
▲图7 46引导组织再生手术。远中三壁骨袋,深5 mm,宽5 mm,近中二壁骨袋,颊侧壁缺损,深5 mm,宽5 mm,清除肉芽组织,植Bio-oss骨粉,置Bio-gide膜,严密缝合
▲图8 16手术前后根尖片比较。A:16手术前(近中牙槽骨吸收近根尖),B:16手术后3个月(近中牙槽骨高度良好),C:16手术后2年(近中仍保持令人满意地牙槽骨高度)
▲图9 46手术前后根尖片比较。A:46手术前(近远中牙槽骨吸收至根长2/3),B:46手术后3个月(近远中牙槽骨高度良好),C:46手术后2年(近中牙槽嵴顶有少量骨吸收,远中牙槽骨高度良好)
▲图10 正畸治疗后半年口内相(14、13与44对刃咬合解除,31被拔除,前牙深覆牙合及牙间隙均被改善)
▲图11 14引导组织再生手术。近中及远中均为一壁骨袋,深6mm,宽5mm,清除肉芽组织,植Bio-oss骨粉,置Bio-gide膜,严密缝合
▲图12 正畸治疗结束后口内相(14~24、34~44行舌侧永久固定,15~13托槽为了保持14引导组织再生手术效果暂未拆除,预计半年后拆除)
▲图13 正畸治疗结束后全口根尖片
▲图14 正畸结束后全口牙周检查记录表(全口无超过5mm的牙周袋,探诊出血不明显)
【小结】
本病例是一个典型的广泛型侵袭性牙周炎病例,患者病变范围广、附着丧失严重、有较多松动牙,且伴有咬合问题,是一个比较复杂的病例。
面对这种复杂的情况,我们医师一方面要考虑到全部的临床问题,另一方面又要把所有的问题条理化,牢牢把握牙周治疗的基本思路,将每一个步骤都做到尽可能完善,才能使患者最大限度地获得良好的疗效。
在该病例治疗中,我们通过牙周和正畸联合治疗,不仅改善了患者前牙的间隙和深覆牙合,还解除了右侧前磨牙区的对刃咬合关系。这种咬合创伤的解除,使原先被认为无治疗希望的14获得了牙槽骨高度的增加,加上后续的引导组织再生手术,该牙得以保留。这个现象不仅提示我们在牙周治疗过程中一定要充分考虑咬合问题,更揭示了牙科治疗中跨学科团队协作的重要性,这种联合治疗的效果往往会为我们带来意想不到的惊喜。
致谢:感谢北京大学口腔医院牙周科朱卫东副主任医师在本病例分析中给予的帮助,感谢北京大学第三医院口腔科马宁医师提供的正畸治疗,以及李伟力主任医师和王霄主任医师给予的各方面的支持和帮助。

