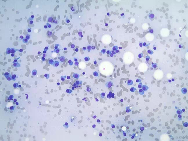
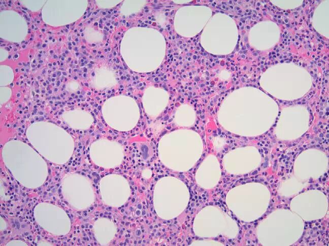
一名58岁女性发现贫血,血红蛋白7g/dL(正常为11.5-15.5)。患者做了结肠镜筛查并遵嘱服用铁剂。此后患者出现了视力模糊,就诊于验光师,发现视网膜出血,因此被介绍至眼科医师处做实验室检查,结果(括号内为参考值)发现血清总蛋白升高至15.8g/dL(6-8.4)、血清IgG为11,316mg/dL(717-1411)、肌酐水平处于1.4mg/dL(0.7-1.4)的交界值、IgA降低至22mg/dL(78-391)、IgM降低至13mg/dL(53-334)。血清钙为8.9mg/dL(8.5-10.5)的正常值。进一步检查,血清蛋白电泳及免疫固定电泳发现血清IgG-κ单克隆蛋白9.16g/dL。血清β2-微球蛋白升高(7mg/dL,正常为0.3-1.9),白蛋白降低(2.4g/dL,正常3.5-5.0),乳酸脱氢酶(lactate dehydrogenase,LDH)位于正常范围(164U/L,正常为100-220)。全血细胞计数见白细胞为3.8×103/μL(正常3.8-11.0),血红蛋白5.7g/dL(正常11.5-15.5),红细胞压积18.8%(正常36.0-46.0%),血小板152×103/μL(正常150-400),外周血中浆细胞4%(见图1)。骨髓穿刺涂片(图2)及粗针活检(图3)浆细胞肿瘤性成分占全部骨髓中细胞成分的70%。粗针穿刺标本中做免疫染色,见CD138(syndecan-1)和κ轻链阳性、而CD79a(mb-1; Ig-α)、CD56(NCAM-1)、cyclinD1、ι轻链阴性的浆细胞数量显著增加。细胞遗传学见正常女性核型。骨髓标本分裂间期荧光原位杂交(fluorescence in situ hybridization,FISH)分析见13号染色体单体(图4)及t(4;14)IgH/FGFR3融合(图5)。骨骼检查见T8椎体部分压缩性骨折。 根据Durie-Salmon分期10和国际分期系统(International Staging System,ISS)11,该患者为III期、高危型骨髓瘤。患者接受了浓集红细胞输注。硼替佐米(bortezomib)、来那度胺(revlimid)、地塞米松方案(VRD)的治疗中,出现了中到重度的疲倦、腹泻、神经病变、味觉障碍及体重减轻等并发症。治疗后,血清单克隆异常蛋白降至0.16g/dL,尿中未测出单克隆蛋白。五个周期的治疗后,达到了极好的部分缓解。 这一高危型多发性骨髓瘤患者的处理过程中,出现了几个问题: 1、含硼替佐米方案的治疗是否为克服其高危型疾病所必需? 2、如果患者最初未达到完全缓解,是否需要更改初始的治疗方案? 3、自体干细胞移植(autologous stem cell transplantation,ASCT)或序贯自体干细胞移植(序贯移植或二次移植,是指包括使用两个周期的大剂量苯丙氨酸氮芥以及首次移植后数月内第二次干细胞输注)是否有助于改善其中位生存期、该方案是当前的标准方案吗? 4、对这一高危型疾病患者,尽管异体骨髓移植具有较高的治疗相关死亡率,但是否也可以考虑? 5、恰当的治疗终点是何时:完全缓解?无进展生存(progression-free survival,PFS)?还是到中位生存期? 6、最后,该患者最恰当的维持治疗是什么? 图1.外周血涂片(×50,瑞氏染色)见正常红细胞性贫血,伴红细胞形成显著缗钱状,可见浆细胞。 图2.骨髓抽吸涂片(×50,瑞氏染色)可见非典型浆细胞显著增加,伴大小不等的红细胞,偶见伴显著核仁或双核的不成熟型(图中未示)。 图3.骨髓粗针活检(×20,苏木素伊红染色)见老化的细胞数量增加(约60%)、伴造血细胞三系均成熟减少,伴核仁的非典型性及未成熟性浆细胞显著增加、约占骨髓细胞数量的70%。免疫组化染色(图中未示)见浆细胞CD138和κ轻链阳性,而ι轻链、CD56、CD79a、cyclinD1阴性。 图4.分裂间期荧光原位杂交见一个细胞中有两个来自正常着丝粒的蓝色信号、一个来自特异性位点13q14(Rb1)探针的红色信号,一个来自13q34(LAMP1)探针的绿色信号。这一信号模式代表13号染色体三体。 图5. 分裂间期荧光原位杂交见一个细胞具有来自特异性位点14q32(IgH)探针的绿色信号、来自4p16(FGFR3)探针的橙色信号以及两个信号接近后的融合。这一信号模式代表t(4;14)(p16;q32)。 |
查看原文 赞 0
旎旎 [来自Android] 发表于:2016-12-29 15:32
请问被狗咬伤时间一个月,注射疫苗还有用吗?
用户174432 [来自Android] 发表于:2016-08-07 10:25
犬伤后,一定要注射疫苗
童曦━爱死你 [来自微信] 发表于:2015-05-14 03:58
就医时一应该如是叙述病情。以免耽误治疗。
车到山前 [来自Android] 发表于:2015-04-30 14:32
一般想不到