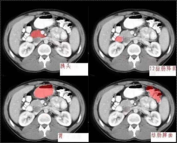
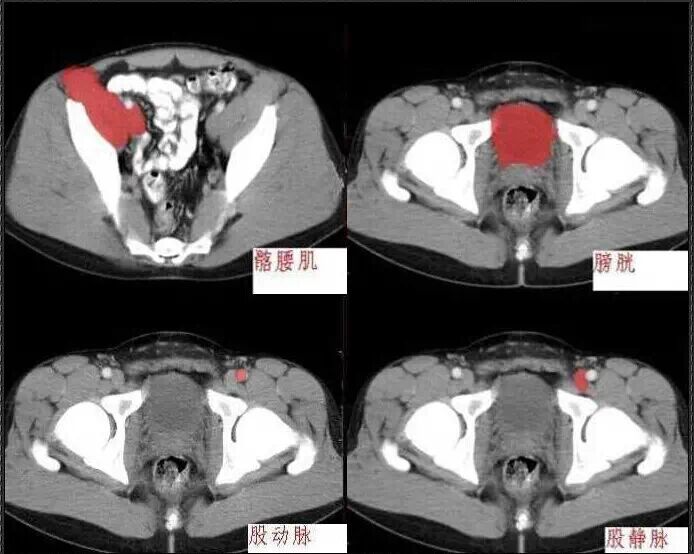
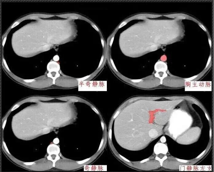
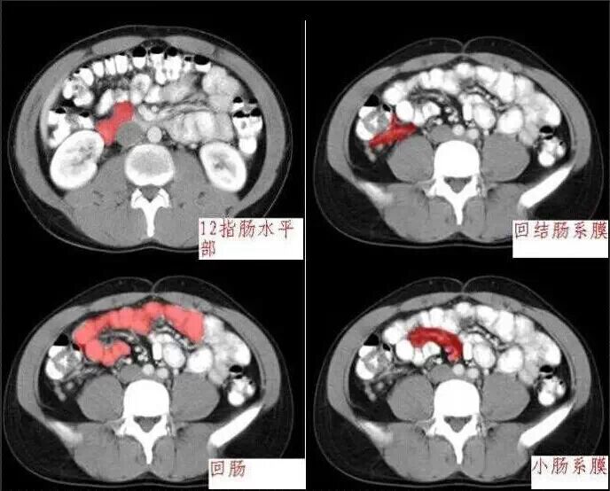
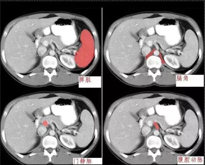
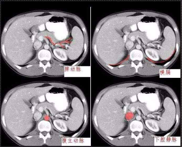
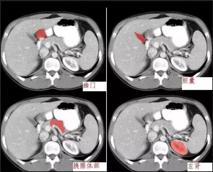
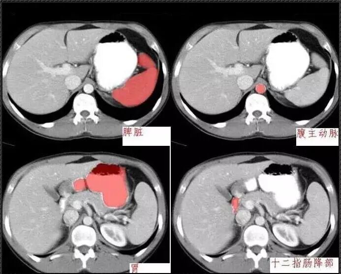
十分钟学会腹部CT解剖(多图)

时间:2015-04-15 作者:

十分钟学会腹部CT解剖(多图)

转自 肿瘤时间 整理自丁香园论坛,感谢丁香园战友fanshl的精彩分享。





























( 登录 后评论送积分,积分详情请登录 掌上医讯移动端 )