1/3

2/3

3/3

卒中样症状再发的真正原因可能是?
2016/09/08 17:22:18会说话的鹰

1/3

2/3

3/3

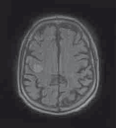
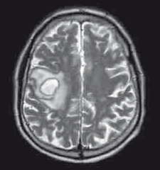
80岁男性,由于口齿不清和左侧面部下垂就诊。MRI检查前两图。初步诊断为急性脑梗死,患者接受阿司匹林和氯吡格雷治疗2天后出院。 16天后,患者由于左上肢麻木无力2天再次就诊。 既往史:高血压、高血脂,慢性阻塞性肺疾病,冠心病支架放置术后7年,右侧脓胸剥脱术8年。曾吸烟,无饮酒或违禁药物使用史。 家庭史:无神经系统疾病遗传史,亲属有心肌梗死及结肠癌患者。 体格检查:一般体格检查未见显著异常。神经查体显示患者言语流畅,但为构音障碍性言语,此外还存在吞咽困难、显著左侧面部下垂,多步骤命令执行困难。左侧上肢肌力减弱(近端3/5,远端4/5),精细动作协调性障碍,边距不良,轮替运动障碍。 辅助检查:患者的血象和炎症标记物均在正常范围内。颈动脉超声检查未见显著异常。MRI扫描见第三图。

神内
热门评论
天天天蓝!
0
做造影没有?有无糖尿病高血压病史?
2016/09/08 19:32:14
Dr.GREEN
0
高龄男性,那么多既往史,建议溶栓,抗血小板,抗凝治疗吧,适当降低血压,调脂!
2016/09/09 23:45:21
打开掌上医讯,查看完整评论(22)条
精彩推荐
下载医讯阅读
掌上医讯APP
医生的头条